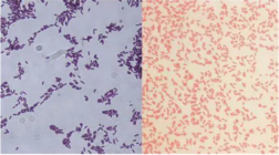
一、简单染色法(单染色)

【原理】细菌带负电荷,与带正电荷的碱性染料结合着色
【步骤】一般要经过涂片、固定、染色、水洗和干燥五个步骤
【作用】快速观察细菌基本形态(如球菌、杆菌)、大小及排列方式(链状、簇状)
【常用染料】
l 碱性复红:着色快,时间短,菌体呈红色
l 美蓝:着色慢,时间长,效果清晰,菌体呈蓝色
l 结晶紫:染色迅速,着色深,菌体呈紫色
【注意事项】
l 涂片质量:厚度不均会导致染色深浅不一,菌量过多易堆积,过少则难观察
l 固定温度:火焰固定时需快速通过,避免高温破坏细胞形态
l 染色控制:染色期间勿让染液干涸,否则结晶残留影响观察
l 水洗技巧:水流过急可能冲脱菌膜,应轻柔冲洗
二、负染色法

【原理】生物样品表面带负电荷,酸性染料也带负电荷,因静电排斥无法渗入样品内部,仅沉积在样品周围形成“包埋”效果
【步骤(以悬滴法为例)】
l 样品制备:样品为悬浮液,浓度适中(过高易堆积,过低难寻找)
l 滴样:滴样品悬液于铜网支持膜上
l 染色:待滴样半干时滴加染液,1~2分钟后吸去多余染液,自然干燥
【作用】用于观察病毒形态(如新冠病毒的刺突蛋白)、衣壳组装模式,以及细菌鞭毛、生物膜、外泌体、细胞器等表面结构
【常用染料】
l 磷钨酸:常用1~3%水溶液,pH6.0~7.0,适用于病毒、细菌
l 醋酸铀:0.5~2%水溶液,pH4.2~4.5,对蛋白质和脂质体效果更佳
l 其他:钼酸铵、硅钨酸等
【优化技巧】
l PH控制:中性或弱酸性环境(pH6.7~7.2)可提高染色均匀性
l 分散剂:添加0.01%牛血清白蛋白(BSA)或杆菌肽,防止样品团聚
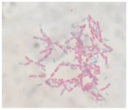
三、革兰氏染色法

【原理】阳性菌(G*)因细胞壁厚、肽聚糖层致密,保留紫色;阴性菌(G-)脱色后复染呈红色
【步骤】结晶紫初染→碘液媒染→酒精脱色→沙黄/番红复染
【作用】
l 分类鉴定:初步区分细^菌大类,缩小鉴定范围
l 用药指导:G*菌对青霉素敏感,G-菌对链霉素敏感
l 致病机制:G-菌内毒素(脂多糖)致休克,G*菌外毒素致组织损伤
【结果判断】
l G*菌:紫色(如葡萄球菌、链球菌)
l G-菌:红色(如大肠杆菌、肺炎克雷伯菌)
【注意事项】
l 涂片时,菌膜需薄而均匀,过厚易导致假阳性(脱色不彻底)
l 固定时,载玻片火焰快速通过3次,避免过热破坏细胞壁
l 水洗时,水流不宜过猛,防止菌膜脱落
四、抗酸染色法

【原理】分枝菌酸与石炭酸复红在加热条件下结合形成稳定复合物,不被盐酸乙醇脱色,故抗酸菌呈红色;非抗酸菌因脂质含量低,易被脱色并被复染成蓝色
【步骤】石炭酸复红加热染色→盐酸酒精脱色→美蓝复染
【作用】
l 疾病诊断:结核病、麻风病等
l 鉴别诊断:区分结核性肉芽肿与真菌感染、结节病等类似病变
【结果判断】油镜下观察,抗酸菌呈红色,背景及非抗酸菌呈蓝色
【注意事项】
l 避免假阳性:使用新载玻片和独立竹签制片;染液需过滤,玻片分隔染色防止交叉污染;镜油滴加时避免接触痰膜
l 避免假阴性:确认标本为深部痰(非唾液),量>3ml;优化染色温度和时间,确保分枝菌酸充分结合染料
l 其他质控:复染时间≤1分钟,避免背景过深掩盖抗酸菌;脱色后水洗需彻底,防止残留酸影响复染
五、芽孢染色法

【原理】芽孢壁厚、透性低,着色、脱色均较困难,加热促进孔雀绿渗透进入菌体的染料可经水洗脱色,而进入芽孢的染料则难以透出,再用复染液染色后,芽孢仍然保留初染剂的颜色,而菌体被染成复染剂的颜色,即菌体和芽孢分别染成红色和绿色易于区分
【步骤】涂片固定→孔雀绿初染与加热→水洗脱色→沙黄/番红复染
【作用】
l 食品工业:评估灭菌工艺有效性
l 临床诊断:快速鉴别致病菌,辅助感染诊断
l 环境监测:分布评估生态风险及污染源追踪
l 科研分类:细菌分类与鉴定依据
【注意事项】
l 菌龄控制:选择培养18~24h的菌种。幼龄菌无芽孢,老龄菌芽孢囊易破裂
l 加热技巧:保持染液微沸不蒸干,避免高温导致菌体破裂
l 脱色时间:水洗脱色≤2秒,防止过度脱色影响对比度
l 质控与安全:试剂现配现用,无菌操作防污染,实验人员需穿戴防护装备
六、鞭毛染色法

【原理】
l 媒染剂预处理:使用单宁酸、明矾钾或鞣酸等媒染剂包裹鞭毛,增加其直径并增强染料吸附能力
l 染料沉积:碱性复红、硝酸银或结晶紫等染料与媒染剂结合,沉积在鞭毛上形成可见色带(通常为褐色或红色)
【染色方法】
l 硝酸银法:菌体与鞭毛均呈深褐至黑色
l Leifson氏法:鞭毛红色,细胞蓝色
l Bailey氏鞭毛染色法:鞭毛红色
【作用】
l 微生物分类:通过鞭毛着生方式(单生/丛生/周生)鉴定菌种
l 致病性研究:鞭毛数量与细菌运动能力、侵染机制相关
l 细胞生物学:观察细胞运动、分裂及信号传导机制
【常见问题与技巧】
l 染色失败原因:菌龄过老、玻片不洁、媒染剂失效或加热过度
l 运动性观察辅助:可先用压滴法(美蓝染色)初步判断细菌运动性,再行鞭毛染色
七、荚膜染色法
【原理】荚膜其亲水性强、与染料结合力弱,且受热易变形,故无法通过常规染色显色。因此通过使菌体着色(如红色或紫色)并加深背景颜色(如灰色或黑色),衬托出无色的英膜,形成菌体周围透明圈的效果
【常用方法】
l 湿墨水法:背景灰黑,菌体深色,英膜为亮白透明圈
l Anthony氏法:菌体深紫色,荚膜淡紫色或无色
l 负染色法:背景灰色,菌体红色,英膜透明
l 干墨水法:背景灰色,菌体紫色,英膜透明
l Tyler法:背景蓝紫色,菌体紫色,荚膜无色或浅紫色
【应用场景】
l 病原菌鉴定:如炭疽杆菌的英膜检查,菌体蓝色,荚膜淡蔷薇色
l 环境微生物研究:固氮菌、胶质芽孢杆菌的英膜观察
l 教学实验:湿墨水法操作简单,适合学生掌握负染色原理
【常见问题】
l 英膜未显现:菌种选择错误(如无英膜菌株),也可能加热固定导致变形,或水洗过度冲脱染料
l 背景不均匀:墨水未过滤(含颗粒),或推片力度不均(干墨水法)
八、核酸染色法

【原理】染料与含核酸的物理-化学结合。细菌等电点较低(pH2~5),带负电荷的核酸易与带正电荷的碱性染料(如结晶紫、美蓝)结合。酸性染料(如刚果红)需调至强酸性环境(pH<菌体等电点)才能使菌体带正电荷而结合
【常用方法】
l 荧光染料(吖啶橙):染料在双链DNA中呈单体态(绿光),在单链RNA中形成二聚体(红光),实现核酸类型区分
l 亚甲蓝:特异性染DNA为深蓝色,主要用于组织切片或细胞涂片的DNA定位,操作简便、成本低,但灵敏度低于荧光染料
【应用场景】
l RNA动态监测:吖啶橙标记细胞质RNA(橙红色),定量分析转录活跃度(如肿瘤细胞中RNA异常高表达)
l 原位杂交辅助:结合荧光探针(如FISH),精确定位特定基因的转录位点
l DNA复制与周期:吖啶橙染色显示分裂期染色体浓缩(强绿光),间期染色质松散;亚甲蓝揭示有丝分裂中染色体排列异常(如癌变细胞非整倍体)
l 凋亡与坏死鉴别:凋亡细胞核碎裂(吖啶橙点状绿光),坏死细胞RNA泄漏(红光弥散)
九、荧光染色法
【原理】荧光染料(如金胺O、钙白)通过静电作用、疏水作用或抗原-抗体反应,与微生物细胞壁(如真菌的几丁质、细菌的肽聚糖)或核酸(DNA/RNA)结合;染料吸收特定波长的激发光(如紫外光或蓝光),电子跃迁后释放更长波长的发射光(如绿色或红色荧光),形成可观察的荧光信号
【常用方法】

【注意事项】
l 荧光衰减:染色后24h内完成观察(如金胺O染色样本)
l 背景控制:使用无自发荧光的载玻片,避免血细胞或杂质干扰(如溶解红细胞预处理)
l 染料毒性:部分染料(如吖啶橙)具潜在致癌性,需严格防护
l 光漂白现象:长时间照射导致荧光衰减,影响定量准确性
【应用】
l 快速病原检测:真菌荧光染色(30~60分钟)比培养法(7~30天)更快诊断肺部真菌感染
l 水/食品污染检测:吖啶橙染色快速计数水中活菌
十、金属染色法
【原理】基于金属离子与细胞成分(如细胞壁多糖、蛋白质、核酸)的物理吸附、化学结合或氧化还原反应,形成显色或高对比度的沉淀物
【常用方法】

【注意事项】
l 避免假阳性/假阴性:银染时脱色不彻底可能导致背景过深;鞭毛染色时需轻触水滴防鞭毛脱落
l 试剂稳定性:银染液需现配现用
l 生物安全:分枝杆菌等病原体需在生物安全柜操作
【应用】
l 快速病原识别:六胺银染色用于肺孢子菌肺炎诊断,灵敏度高于常规染色
l 混合感染鉴别:同步检测真菌、细菌(如诺卡菌与曲霉菌)
l 结构解析:鞭毛染色揭示细菌运动机制,铁染色分析胞内代谢
l 环境微生物互作:研究微生物对重金属(如铜)的吸附与转化
l 重金属污染治理:利用微生物(如铜绿假单胞菌)吸附水体中的金属离子
实验外包 想了解更多请关注:http://www.do-gene.cn

