科研,是一个经常会打击自信心的行业。
很多时候,很多人,实验做不出来,常常会陷入深深的自我怀疑。是不是样本没处理好?是不是操作出问题了?是不是实验体系不对?是不是不适合搞科研?......
尤其是对于刚进实验室的新人们。他们不知道,其实有时候,真不是个人的问题,而是工具的原因。
今天传授大家几个抗体特异性验证方法,如果你对抗体特异性有所怀疑,只要从这几个角度去验证一下,基本就能初步排除抗体问题。
1.多抗体验证
多抗体验证策略说的就是使用2种或多种可识别同一靶标蛋白、不同抗原决定簇的独立抗体,通过对比或定量分析确定特异性,通过多组独立抗体对比或定量分析确定特异性。
如果你的检测结果一直与预期不太一致,并且你已经通过各种资料查阅到该靶标可能出现的状况,那么不要再过度陷入自我怀疑了,不妨多换几支抗体试一下。很可能,你没有问题,抗体有问题。(当然,少数情况下,反预期的结果反而是真相,这种特殊情况需要通过更多的手段去交叉验证。)
2.基因敲除/敲降验证
不管是通过CRISPR/Cas9技术敲除靶标基因的表达(Knock Out,KO),或是通过RNA干扰(RNA Interference)技术敲降靶标基因的表达(Knock Down,KD),都可以说是抗体特异性验证最可靠的标准之一。通过基因水平的调控,来改变蛋白表达水平,进而判断抗体与靶标的结合是否特异。(当然基因层面的手段要考虑到内源蛋白的半衰期以及敲除是否彻底等因素,需合理设计实验规避风险。)

上图所示的两支抗体Caspase3与Caspase7在siRNA(RNA干扰技术)验证之下,我们不难发现SiRNA实验组中靶标蛋白的条带明显弱于对照组。表明SiRNA手段确实敲降了靶标蛋白Caspase3和Caspase7的表达水平,同时也验证了两个抗体的特异性。
对于科研同仁而言,如果你的研究中,刚好有KD/KO的材料,不妨做个对比实验,这样你的数据可信度都会大大提升。
KD/KO验证结果则是最佳的宣传资料。如果你在产品介绍中看见优秀的RNA干扰验证或是敲除验证结果,那就不要犹豫了,买它大概率没毛病!
3.天然差异对照验证
上面的基因工程手段,其实是一种人为创造的差异对比。部分靶标蛋白天然存在组织、细胞特异性,可以利用多组天然差异表达的细胞或组织作为对照:比如CD20不在T细胞中表达,PAX8不在Hela细胞中表达。
以及,某些靶标蛋白需要在特定的生理条件下才表达,或发生表达量的改变,这种情形也可以作为特异性的参考依据。举个栗子:

在正常条件下,A375细胞与A549细胞中PD-L1的表达水平是极低的,通过WB检测基本上看不见条带(lane1和lane3),但是在IFN-γ细胞因子的处理下,就能诱导PD-L1的表达(lane2和lane4)。试验组和对照组结果趋势良好,因此我们可以初步判断这个PD-L1抗体是与靶标特异性结合的。
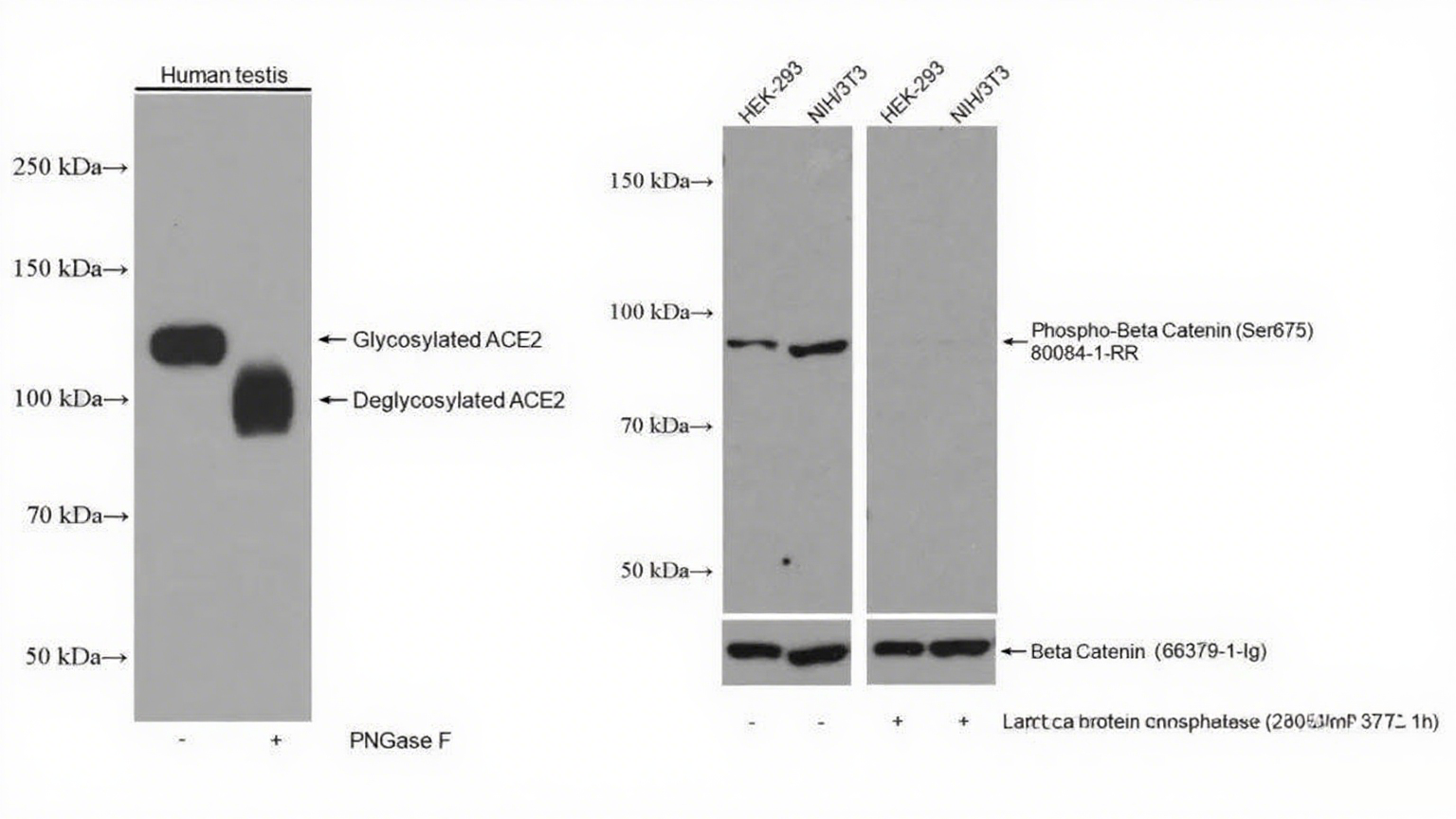
4.酶法检测验证
生物活性蛋白通常会有一些修饰形式,如磷酸化,糖基化等,可以通过检测修饰前后WB条带的变化来判断抗体的特异性。这时候就需要添加相应的酶来去除这些修饰形式,如磷酸酶,糖苷酶等。酶法检测是也是初步验证抗体特异性较为迅速简便的方法。

举个栗子1:新冠病毒入侵细胞的关键靶标——血管紧张素转移酶2(ACE2),是一个膜受体,也是一个糖蛋白,蛋白分子被糖基化修饰,通过PNGase F(肽 N-糖苷酶 F)切开ACE2上的糖苷键,其主体分子量会发生显著变化。而ACE2抗体能准确捕捉这个变化(上图 左),基本表明该抗体与靶标蛋白为特异性结合。
举个栗子2:β-连环蛋白(Beta-Catenin)是一个进化保守的多功能胞内蛋白,其675位的丝氨酸磷酸化在多个生物进程中发挥功能。而Phospho-Beta Catenin(Ser675)抗体是专门针对这个磷酸化位点设计的磷酸化抗体,λ-PPase处理可去除靶蛋白磷酸化。通过实验可以发现,λ-PPase处理让Phospho-Beta Catenin(Ser675)蛋白条带消失了(上图 右),而针对total Beta-Catenin的抗体66379-1-Ig的信号没有消失,初步表明该磷酸化抗体确实是特异性针对该磷酸化位点的抗体。
以上就是最常用的几种抗体特异性验证的几种方法,当然不管是采用哪一种验证方式,我们都需要提前做好一个功课,那就是靶标的背景调查,靶标的表达丰度、靶标的时空表达特异性、靶标抗体的检出阈值、以及合适的检测手段等,只有通过这些背景知识进行科学的分析之后,我们才能挑选出最适合的验证方式,并且展开科学的验证策略。(部分文章推荐免疫沉淀及质谱分析(IP-MS)验证策略,但由于质谱技术首先需要一个可用的质谱平台、其次需要经验非常丰富的人员操作,一般情况难以得到预期结果,因此这里不作推荐。)
一般方法操作无误且数据真实的情况下,通过了上述中的一种方法检测,抗体质量基本都是值得相信的。当然,检测方式越多,质量肯定是越可靠!
实验外包 想了解更多请关注:http://www.do-gene.cn

