资源中心
HDL-microRNAs的稳定性研究
时间:2021-09-13 01:39:00点击量:1387次
摘要:
背景:近年来,一些研究表明microRNAs存在于高密度脂蛋白中,高密度脂蛋白-microRNAs可能是一种很有前途的疾病生物标志物。我们研究了高密度脂蛋白-microRNAs在不同存储条件下的稳定性,因为这是其应用于临床研究领域的一个重要问题。
方法:从血清中纯化的高密度脂蛋白部分中提取microRNAs。已知存在于高密度脂蛋白中的miR-135a和miR-223通过实时荧光定量PCR进行定量。通过RNAse、储存条件和冻融的影响,研究了分析前参数对高密度脂蛋白-miRNAs分析的影响。
结果:RNAseA处理(0-100U/mL)对高密度脂蛋白中microRNAs的浓度没有改变。在室温或4C保存0-24h后,这些microRNAs没有显著变化,冷冻保存两周也有类似的结果。此外,高密度脂蛋白-microRNAs至少稳定了5个冻融周期。
结论:高密度脂蛋白-microRNAs对各种储存条件具有相对的抗性。本研究为高密度脂蛋白-microRNAs的稳定性提供了新的重要信息。

microRNAs(miRNAs)是一种小的非编码RNA,在转录后水平的基因表达调控中发挥着关键作用。1在人类中,据估计至少有30%的基因受miRNAs调控,而miRNAs介导的基因沉默通路在分化等细胞功能中发挥重要作用。
最近的报告表明,存在于外泌体中的血清/血浆miRNAs(MVs)、高密度脂蛋白(HDL)等,可以循环,并且这种循环的miRNAs在血液中是稳定的。血清/血浆miRNAs表达失调可能与各种人类疾病有关。已经证明,血清/血浆miRNAs表达前档案的改变与人类的某些癌症有关。
关于循环miRNAs的临床应用,研究已积极开展。例如,总循环miRNAs似乎对pH、温度、冷冻和冻融、内源性核糖核酸酶(RNAse)和各种储存条件具有耐药性(表1)。外泌体miRNAs也可以防止冷藏和冷冻储存。鉴于这些报告,总循环miRNAs,外泌体miRNAs和MVs-miRNA可以是诊断各种疾病的非侵入性生物标志物。然而,尽管HDL-miRNAs的表达谱可能提供了关键信息,但分析前的条件如存储温度和时间是否会影响HDL-miRNAs的稳定性尚不清楚。因此,为了将HDL-miRNAs应用于临床检查,检查稳定性至关重要。在本研究中,我们研究了HDL-miRNAs在不同存储条件下的稳定性,因为这是其应用于临床研究领域的一个重要问题。

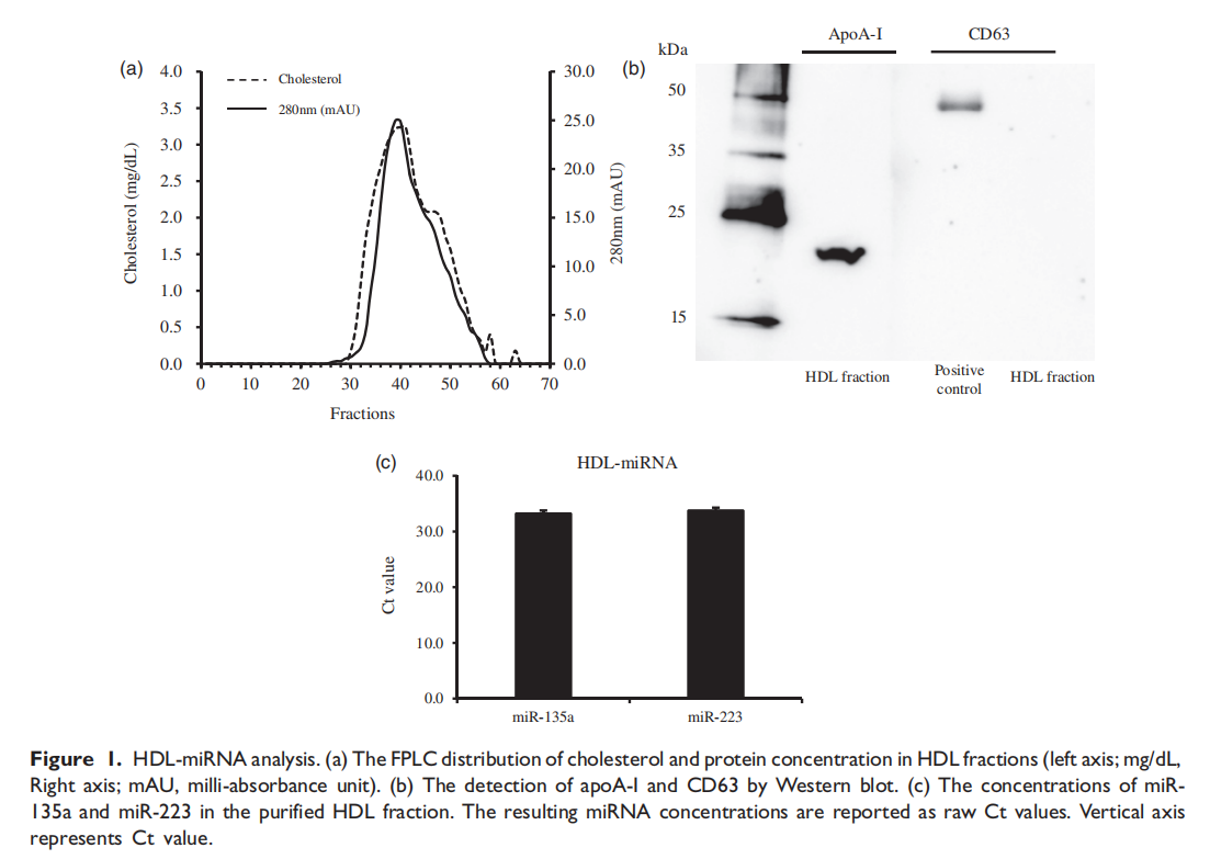
本研究从血清中纯化的高密度脂蛋白部分中提取microRNAs。已知存在于高密度脂蛋白中的miR-135a和miR-223通过实时荧光定量PCR进行定量。通过RNAse、储存条件和冻融的影响,研究了分析前参数对高密度脂蛋白-miRNAs分析的影响。结果显示,可以证实miRNAs存在于纯化的HDL部分中(见图一)。HDL-miRNAs对RNAseA降解的抗性和HDL-miRNAs降解的抗性(见图二)。HDL-miR-135a和HDL-miR-223在室温和制冷条件下存储的稳定性(见图三)。HDL-miR-135a和HDL-miR-223在冷冻储存期间的稳定性(见图四)。HDL-miR-135a和HDL-miR-223在多达5个冻融循环的稳定性(见图五)。





在这里,我们证明了HDL中的miRNAs在不同的样品存储条件下是稳定的。具体来说,本研究的结果已经阐明了HDL-miRNAs在RNAseA处理和血清样本的各种储存条件下是稳定的,如室温、冷冻、冷冻储存和反复冻融循环。高密度脂蛋白的主要功能是去除外周组织中多余的胆固醇,并将其送回肝脏进行储存和排泄。高密度脂蛋白主要参与体内胆固醇水平的调节。此外,高密度脂蛋白在抗炎作用、抗氧化作用和改善内皮功能中也发挥了重要作用。
综上所述,本研究为HDL-miRNAs的稳定性提供了新的重要信息。鉴于HDL包含各种miRNAs,一些miRNAs可能对存储敏感。虽然作者分析了具有代表性的HDL-miRNAs(miR-223和miR-135)的稳定性,但考虑到miR-223不稳定的miR-135,大多数HDL-miRNAs似乎是稳定的。因此,我们得出结论,HDL-miRNAs非常稳定,可用于各种实验。

