资源中心
EndMT是卵圆孔未闭(PFO)的潜在分子机制
时间:2021-09-17 02:42:00点击量:2275次
摘要:卵圆孔未闭(PFO)是一种房间隔畸形,约占总人口的25%。PFO病与中风和偏头痛等主要发病原因有关。PFO似乎是可遗传的,但与卵圆孔未闭有关的基因尚未确定。本研究的目的是确定卵圆孔产后闭合的分子途径和基因。使用Sprague-Dawley大鼠心脏作为模型,我们分析了胚胎第20天和出生后第7天之间卵圆孔区域的动态组织学变化和基因表达。我们观察到内皮标志物PECAM1逐渐丢失,间充质标志物波形蛋白和a-平滑肌肌动蛋白上调,转录因子Snail升高,卵圆孔区成纤维细胞活化蛋白(FAP)增加,以及卵圆孔闭合处富含胶原的结缔组织沉积,表明卵圆孔闭合期间发生内皮至间充质转化(EndMT),导致纤维化。此外,EndMT期间,Notch1和Notch3受体、Notch配体Jagged1和Notch效应子HRT1在卵圆孔区心内膜中高度表达。在内皮细胞培养模型中单独激活Notch3能够驱动EndMT并将内皮细胞转化为间充质表型。我们的数据首次证明,FO闭合是EndMT介导的纤维化过程,Notch信号通路是参与这一过程的重要因素。卵圆孔未闭的分子机制阐明了PFO病的发病机制,并可能为PFO相关疾病的筛查和预防提供潜在的选择。


研究背景
卵圆孔(FO)是胎儿心脏左右心房之间的中隔开口。它是一种瓣-瓣膜样结构,允许氧合血从胎盘经右心房至左心房流入胎儿体循环,绕过无功能的胎肺。出生时,肺功能和肺循环是通过第一次呼吸建立的。这显著降低了肺血管阻力和右心压力,迫使瓣阀抵住FO开口,导致FO功能性闭合。然后认为发生了组织融合,导致FO闭合。在约25%的个体中,FO作为卵圆孔未闭持续到成年(PFO) 。
尽管PFO病以前被认为是良性的,但在过去的20年里,人们越来越意识到PFO病的潜在病理后遗症。在青年隐源性卒中(55-60%)、先兆偏头痛(41-53%)、突发性耳聋(48%) 和潜水员减压病(68%) 中发现了显著较高的PFO病患病率。经皮PFO闭合术可用于预防这些与pfo相关的并发症。
越来越多的证据表明,遗传因素有助于PFO病和其他房间隔缺损(包括房间隔缺损(ASD))的持续存在。大量研究表明ASD具有常染色体显性遗传,已鉴定出编码心脏转录因子及其靶点的致病基因(NKX2-5,TBX5,GATA4,MYH6,ACTC,TBX20 )。这些基因的变异或其表达可能有助于PFO的发展。到目前为止,许多候选基因病例对照关联研究,包括本小组对NKX2-5和GATA4进行的两项试点研究,都没有证明PFO与这些心脏间隔发育基因变体之间存在任何显著关系。这凸显了对PFO发展和PFO关闭自然过程的不了解。
在本研究中,以Sprague-Dawley大鼠心脏为模型,在胚胎发育非常晚的第20天(E20)和出生后第1-7天(P1-P7)系统检查了房间隔的形态学变化,这一过程跨越了FO闭合的整个过程及以后。结合基因表达和细胞培养实验,本文中首次描述了EndMT是PFO闭合的潜在分子机制,导致局部纤维化,可能与Notch信号通路有关。本文的发现有助于了解新生儿心脏发育情况,这是全面了解PFO病发病机制和定义遗传生物标志物以辅助临床诊断和治疗的必要步骤。
方法与结果
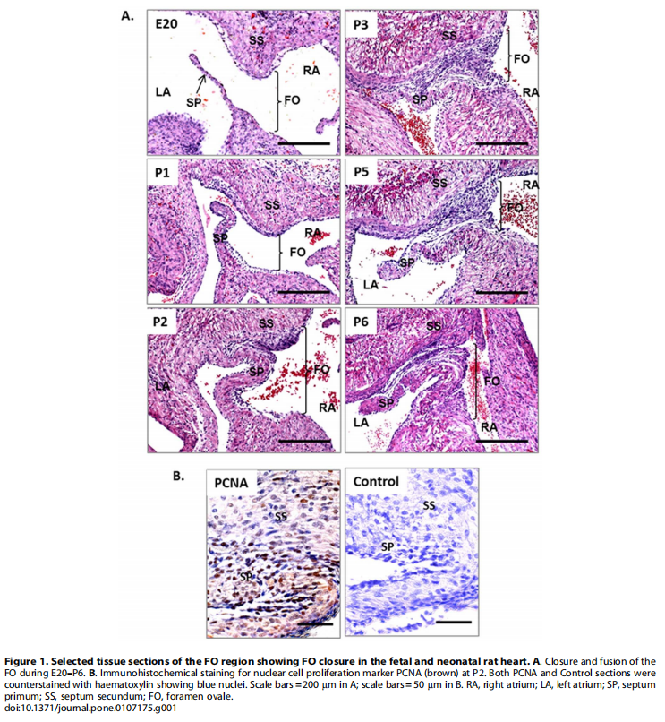
本研究中分离了E20-P7 Sprague Dawley大鼠心脏的组织切片,并在心脏冠状面上从背侧到腹侧切割切片,HE染色组织切片总结了FO的动态闭合情况(见图一)。大鼠心脏FO关闭期间和之后出现纤维化迹象(见图二);FO闭合期间大鼠心脏组织切片中Snail的免疫组织化学染色(见图三)和FO闭合期间大鼠心脏组织切片中波形蛋白和PECAM1的免疫组织化学染色(见图四),实验结果进一步表明,EndMT在出生前出现在FO的心内膜区域,并在整个FO融合过程中高度激活。这允许产生具有增加的ECM沉积的间充质组织,最终闭合FO。
在FO关闭期间,Notch信号处于激活状态,进一步检测了FO闭合期间Notch受体相关基因的表达(见图五,六);Notch3激活单独诱导内皮细胞EndMT,在过度表达腺病毒对照载体的细胞中未观察到蜗牛表达的诱导(见图七);内皮细胞中Notch3的激活会诱导EndMT特有的细胞变化(见图八)。N3ICD过表达7天后,内皮细胞出现明显的形态改变。








通过分析大鼠心脏FO闭合之前和闭合期间不同时间间隔的组织切片,本文阐明了FO闭合期间所见组织学变化的新见解。采用免疫组织学方法和内皮细胞培养相结合的方法,能够证明FO闭合是由EndMT介导的纤维化驱动的,可能与Notch信号通路有关。实验的数据表明,EndMT对出生后FO的闭合也很重要。
在本研究中,还对Notch信号在FO闭合中的作用进行了初步探讨。众所周知,Notch信号通路在调节心脏发育中的EndMT中具有重要作用,尤其是Notch1在房室管、心内膜垫和瓣膜发育中的作用。然而,尚未确定Notch3在此过程中的功能。使用免疫组织化学染色显示,在FO闭合过程中,Notch1和Notch3均明显存在于FO区域,表明Notch信号可能参与驱动导致FO闭合的EndMT过程。
总之,本研究结果表明FO闭合是EndMT介导的纤维化过程,可能与Notch信号通路有关。实验数据为产后房间隔发育的生理过程提供了新的视角。本研究的发现有助于阐明PFO发展的分子机制,并可能有助于未来与pfoa相关性临床疾病的诊断和治疗。
文章出自:动物实验外包 想了解更多请关注:http://www.do-gene.cn/

