资源中心
USP24-GSDMB复合物通过激活STAT3通路促进膀胱癌增殖
时间:2021-12-14 09:37:35点击量:1461次

膀胱癌分别是全球男性和女性中第四位和第十位最常见的恶性肿瘤。膀胱癌治疗控制不佳的主要原因之一是膀胱癌的分子生物学机制复杂。GasderminB(GSDMB)是gasdermin家族的一员,参与细胞焦亡的调控。迄今为止,尚未研究GSDMB在膀胱癌中的作用。

<图1>

<图2>

<图3>

<图4>

<图5>

<图6>
方法与结果
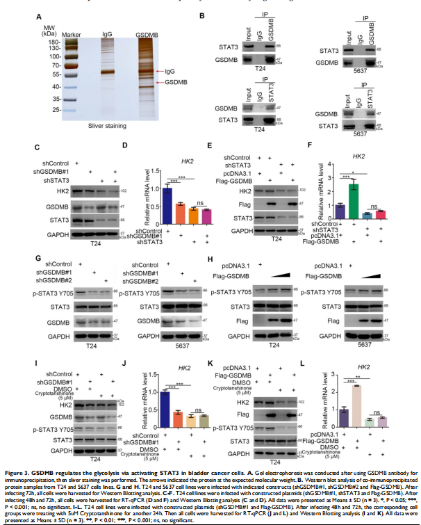
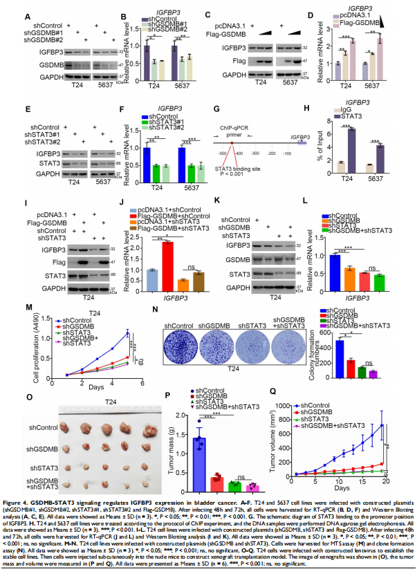
本研究生物信息学分析表明,膀胱癌组织中GSDMB的mRNA表达水平高于邻近正常组织。然后,作者发现GSDMB促进了膀胱癌的进展(见图一)。此外,本研究证明GSDMB与STAT3相互作用以增加STAT3的磷酸化(见图六)并调节葡萄糖代谢并促进膀胱癌细胞中的肿瘤生长(见图二、图三)。此外,本研究结果还表明USP24稳定GSDMB以激活STAT3信号传导,而该信号传导被USP24抑制剂阻断(见图四、图五、图六)。
结论
总之,本研究证明异常上调的GSDMB负责增强膀胱癌细胞的生长和侵袭能力。然后,作者发现GSDMB可以与STAT3结合并提高STAT3的磷酸化,这可能是葡萄糖代谢相关基因(如HK2、LDHA、ENO2和IGFBP3)表达的转录增加和促进的机制。GSDMB对膀胱癌中癌细胞增殖的影响。此外,本研究实验结果还证明USP24与GSDMB相互作用并阻止GSDMB在膀胱癌细胞中降解。因此,USP24/GSDMB/STAT3轴可能是膀胱癌治疗新的靶向信号通路。
文章出自:细胞实验外包 想了解更多请关注:http://www.do-gene.cn/

