摘要:
骨肉瘤(OS)是一种最常见的原发性骨肿瘤,主要发生于年轻人,来源于原始骨形成的间充质。OS发生在复杂的肿瘤微环境(TME)中,由microRNAs(miRNAs)调控的细胞功能可能影响OS细胞与周围TME之间的通信。因此,miRNAs被认为是癌症的潜在治疗靶点,研究的目标之一是准确定义miRNAs的特定特征,这可以反映特定肿瘤的表型,如OS。通过NGS方法,我们之前在OS中发现了miRNAs的特定分子谱,并发现了8个新的miRNAs。其中,我们加深了我们对现在更名为miR-CT3的第五个候选基因的认识。与人原代成骨细胞和健康骨细胞相比,OS细胞中MiR-CT3的表达较低。通过TargetScan,预测VEGF-A为miR-CT3的潜在生物学靶点,荧光素酶检测证实了这一点。我们发现,miR-CT3在两种OS细胞系SAOS-2和MG-63中的强制表达,降低了VEGF-AmRNA和蛋白的表达,抑制了肿瘤血管生成。强制表达miR-CT3也减少了OS细胞的迁移和侵袭,软琼脂集落形成实验证实了这一点。有趣的是,我们发现miR-CT3可以诱导p38MAP激酶通路的激活,并调节上皮-间充质转化(EMT)蛋白,特别是降低波形蛋白的表达。总之,我们的研究强调了miR-CT3在OS细胞中调节肿瘤血管生成和进展中的新作用,也与EMT蛋白的调节有关。

简介
骨肉瘤(OS)是一种原发性骨组织恶性肿瘤,其发病率呈双峰年龄分布,影响儿童和青少年(初始高峰在12-14岁)和成人(60岁以上)。OS治疗(手术和化学疗法)的改进以及对OS发病机制分子机制的理解的进步共同提高了长期存活率。迄今为止,对OS的大部分理解都是基于解剖学和组织学原理,而临床决策与后者密切相关。另一个非常重要的问题是微转移,估计有超过一半的患者在初次检查时没有肺转移。因此,仍然有必要发现用于OS诊断、预测治疗反应和疾病进展的新型生物标志物。
利用NGS方法,本文作者发现并分析了8种新miRNA在OS癌细胞和一组人体组织中的表达。生物信息学分析表明,这8种新型miRNA似乎与人类恶性肿瘤的发病机制和进展有关并将进行进一步的研究,以了解它们作为治疗靶点或分子生物标志物的潜在用途。
在目前的研究中,作者将注意力集中在miR-CT3上(pre-miR序列chr8:129022790..129022852,成熟序列UGCGCAGUGGCAGUAUCGUAGCC),预计可能调节VEGF-A信号通路和其他与致癌。值得注意的是,VEGF-A被认为是OS患者无肿瘤生存的不良预后标志物,表明其在抗VEGF治疗中的潜在作用。最近,生物信息学分析重建了所有与OS相关的miRNA及其靶标的相互作用网络,有趣的是,VEGF-A在OS的子网络中产生了部分枢纽基因节点。除了VEGF-A因子外,该研究还强调了几种已知的与转移相关的microRNA的参与。在这里,作者提供的证据表明miR-CT3在迁移/侵袭机制和调节上皮间质转化(EMT)相关蛋白中起重要作用。因此,本研究的假设是miR-CT3可以在调节肿瘤血管生成和OS侵袭中发挥潜在的抗转移作用。
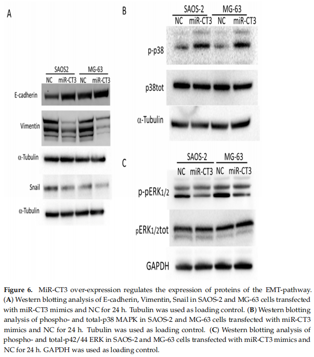
方法与结果
本研究通过体外实验研究发现,新型miR-CT3和靶基因预测(见图一);miR-CT3的强制表达下调VEGF-A(见图二);miR-CT3的强制表达损害血管形成和OS细胞在血管内皮上的粘附(见图三);miR-CT3的强制表达似乎不调节细胞增殖和凋亡(见图四)。MiR-CT3减少OS细胞的迁移和侵袭能力(见图五);MiR-CT3调节与迁移相关的蛋白质的表达(见图六);转移性患者样本中的MiR-CT3表达(见图七);

(图一)

(图二)

(图三)

(图四)

(图五)

(图六)

(图七)
结论
目前的研究旨在阐明新型microRNA miR-CT3在OS细胞中的作用;获得的数据表明miR-CT3是一种潜在的肿瘤抑制miRNA,特别影响肿瘤血管生成和转移机制。
我们假设miR-CT3的一种可能的分子机制,它可能(1)通过与VEGF-A直接连接来控制肿瘤血管生成,也通过 MAPK/ERK 通路的失活,以及(2)抵消OS的迁移和侵袭细胞,通过抑制一些EMT蛋白,如Vimentin,通过激活p38MAPK 途径(见图八)。逐步地,我们将继续对通过NGS分析在OS细胞中鉴定的其他新miRNA进行新的体外研究,以鉴定与OS转移相关的新 miRNA 特征。

(图八)
文章出自:细胞实验 想了解更多请关注:http://www.do-gene.cn/

