资源中心
具有干细胞特征、混合EMT状态和独特治疗反应特征的结直肠循环肿瘤细胞的类器官模型
时间:2022-06-11 09:28:20点击量:1113次

背景
循环肿瘤细胞(CTC)负责将结直肠癌(CRC)转移到肝脏、肺和淋巴结。CTC的稀有性和异质性极大地限制了对其生物学特征的阐明,以及旨在预防转移的临床前药物敏感性研究。
方法与结果
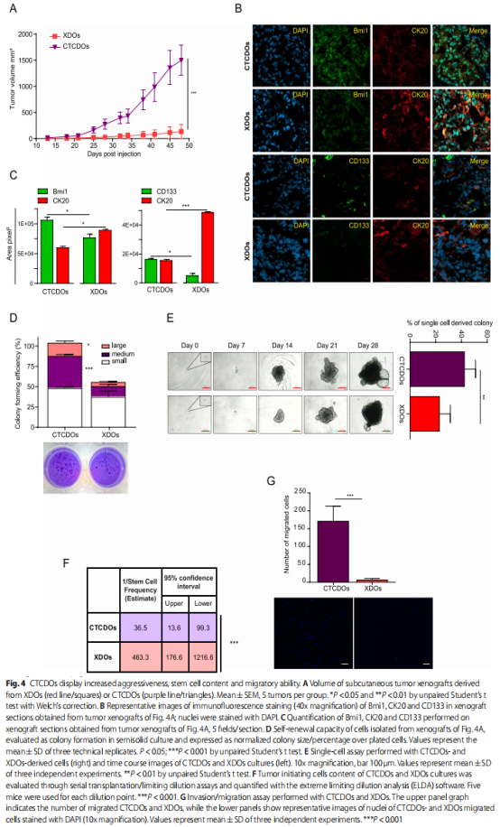
我们从原位CRC异种移植模型中分离出来的CTC生成类器官。通过蛋白质组分析、免疫组织化学、免疫荧光、流式细胞术、肿瘤形成能力和药物筛选测定来表征CTC衍生的类器官(CTCDO)。在从CRC患者外周血中分离的CTC上验证了CTCDO中发现的细胞内和细胞外标志物的表达。实验结果显示,从原位/转移性小鼠异种移植模型生成CTC衍生的类器官的工作流程(见图一)。CTCDOs表现出混合上皮-间质转化(EMT)状态和干性相关标志物的表达增加,包括两种同源框转录因子Goosecoid和胰腺十二指肠同源框基因1(PDX1),这也在CRC患者的CTC中检测到(见图三)。在功能上,与异种移植物衍生的类器官(XDO)(见图二)相比,CTCDO显示出更高的迁移/侵袭能力和对通路靶向药物的不同反应(见图四)。具体来说,CTCDOs比XDOs对影响Survivin通路的药物更敏感(见图五),从而降低了诱导CTCDOs死亡的Survivin和x联凋亡抑制剂(XIAP)的水平(见图六)。

(图一)

(图二)

(图三)

(图四)

(图五)

(图六)
结论
本研究结果提供了初步证据,表明CTCDOs可能提供一个合适的模型来研究CTCs分子特征、确定及时的转移预防策略和测试个性化治疗。类器官技术未来在CTC中的应用可能会通过提供对转移过程的前所未有的见解,通过允许检测新的 CTC 生物标志物、治疗靶点和化学抗性机制来开辟新的前景。
文章出自:细胞实验外包 想了解更多请关注:http://www.do-gene.cn/

