免疫组化是个苦活,时间长,步骤多,还要经常接触有毒致癌物质。大家辛辛苦苦如何才能染出了漂亮的片子,并分析出得出自己想要的结果呢?
免疫组化(immunohistochemistry,IHC)是应用免疫学基本原理——抗原抗体特异性反应原理,通过化学反应使标记抗体的显色剂(荧光素、酶、金属离子、同位素)显色来确定组织细胞内抗原(多肽和蛋白质),对其进行定位、定性及相对定量的研究。
作用:通过颜色来显示蛋白质的有无、定位(胞外、胞膜、胞浆、胞核)、含量变化
样本种类:
按来源:①组织;②培养细胞
按制作方式:①石蜡片(IHC-P)②冰冻片(IHC-F)③细胞片(ICC)
免疫组化具有特异性强、敏感性高、定位准确、形态与功能相结合等多种优点,可应用于确定细胞类型、发现微小转移灶、了解分化程度、肿瘤起源与分化 、指导治疗与预后等多个方面。
免疫组化实验流程通常包括样本固定、包埋、切片、抗原修复、封闭、一抗孵育、二抗孵育、酶底物显色或荧光检测、封片观察 9 个部分。这 9 个部分是环环相扣,每一步的疏忽都可能导致一无所获。
概括来说,免疫组化分析主要有两种方法,阳性着色细胞计数法和染色强度评分法。前者是在光学显微镜下,随机多个视野下计数阳性着色细胞;后者则是在下按染色强度和染色阳性范围评分,最终分数相加。
但组织样品的病理学分析仍然是耗时且主观的程序,其中人工判断染色强度来评分,直接受到视觉偏差的影响。且阳性细胞计数往往不能自动化进行,导致免疫组化分析费时费力。因此常借助软件进行客观分析,得到更加直观和稳定的数据。最常用的就是大名鼎鼎的Image J。
阳性着色细胞计数法就是通过Image J对片子进行颜色处理,转为非黑即白的二值化图片,进而进行自动化计数,得到结果。
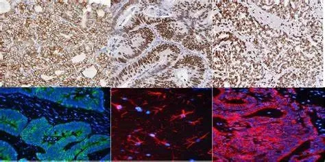
染色强度评分法则是通过Image J将阳性细胞的平均灰度值(染色强度)和阳性面积百分比(染色面积)共同作为 IHC 测量指标,最终给出四种评分:High positive (3+),Positive (2+), Low Positive (1+) and Negative (0)。让我们来两张图看一下:

那么这张图表达的意思就是,不同浓度的药物对肿瘤微环境中的Treg细胞的影响,可以看到背景深蓝色为DAPI染色的阴性细胞,天蓝色为标记的Treg细胞,通过药物作用,肿瘤微环境中Treg细胞数量不等,右面柱状图表明进行了定量分析,也是具有统计学意义的。

这张图中,vehicle为注射生理盐水的对照组,rGDF11为注射药物的实验组,粗略一看,我们可能不能明确的看出来两组的差异,但是通过染色强度定量分析,发现实验组的pSmad2/3、p-c-Fos、nfatc1着色显著多于对照组,具有统计学意义。
其实我们在很多文章中往往看不到统计分析图,这是因为我们做免疫组化的目的不一样,有的可能只是为了证明通过实验条件某种蛋白是不是表达了,或者说这种蛋白只在某种细胞中表达(比如肿瘤细胞),此时单列出免疫组化图片足以说明问题。
免疫组化(IHC)中存在的细节性问题“千千万”,每一种都有可能影响实验的成败,实验操作时应注意:
良好的细胞爬片是进行免疫组织细胞的基础,要获得良好细胞爬片须注意以下:对于粘附分子较少的细胞爬片时间要达5天以上这样细胞爬片才较牢固冲洗时不易脱片;接种的细胞密度适中以2×104/ml为宜,若密度太高5天后细胞连接成片冲洗时易脱片。
冰丙酮固定后玻片可密闭保存于4℃冰箱,冰丙酮固定时会使细胞收缩,可用80%冰丙酮或2%多聚甲醛固定。
冲洗时只须轻轻振荡培养皿,(不可用吸管太用力吹,易脱片)。
加一抗、二抗后冲洗时第一次须将玻片倾斜。
Triton X-100表面活性剂,脱去细胞膜中最主要的成分脂质,对于抗原表达在胞浆或胞核者方使用,对于抗原表达在胞浆者时间要控制好,使其破坏细胞膜而核膜破坏较少。
实验外包 想了解更多请关注:http://www.do-gene.cn




